前歯の
見た目が気になる
患者さんの
右上の前歯2本の
セラミックによる
治療症例
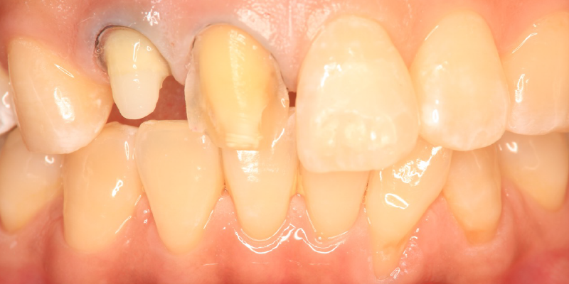
治療前
治療中
治療後
| 主訴 | 前歯の見た目が気になるとのことで来院。 右上の前歯2本の形と色のバランスを整えたいというご希望がありました。 |
|---|---|
| 期間 | 約1か月(全3〜4回の通院) 1回目: カウンセリング・治療計画 2回目: 形成・仮歯装着 3回目: 形態・色調確認・最終型取り 4回目: ラミネートベニア・ セラミッククラウン装着 |
| 費用 | ラミネートベニア(前歯1本): 132,000円(税込) セラミッククラウン(前歯1本): 132,000円(税込) 仮歯(3Dプリンター製・2本): 11,000円 × 2本 = 22,000円(税込) トータル: 約286,000円(税込) |
| 治療内容 | 右上前歯2本の色と形に不調和があり、1本は歯をできるだけ削らないラミネートベニア、もう1本はより強度が必要なセラミッククラウンで治療しました。 仮歯の段階で形や色味を調整し、最終的に自然で調和の取れた前歯に仕上げました。 |
| 治療に伴うリスク | ・歯ぎしりや強い咬合力により、セラミックやベニアが破損することがあります。 ・ラミネートベニアは接着が外れる場合があり、再装着が必要になることがあります。 ・長期的な美しさを保つため、定期的なメンテナンスが大切です。 |
















