- ホーム
- ブログ
ブログ
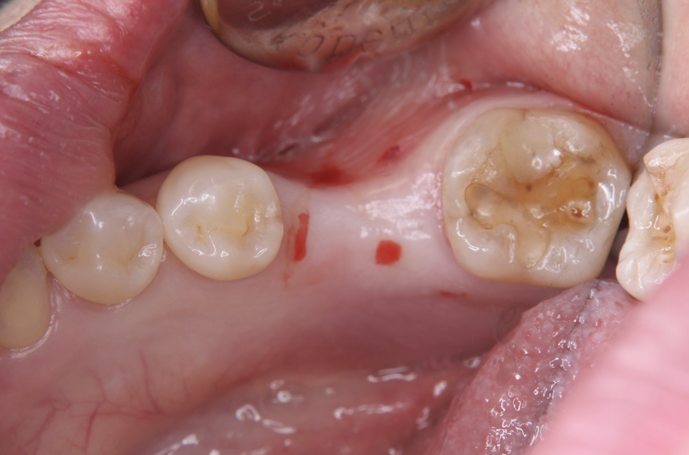
歯牙レプリカってなに?
歯牙レプリカってなに?歯の移植の成功率を高める大事なポイント
こんにちは。のだデンタルクリニック西荻窪院 院長の野田裕亮です。
今回は、歯牙移植の中でもとても重要な「歯牙レプリカ」についてお話しします。
歯牙移植…
歯の移植という選択肢〜手術編Ⅳ〜
前回の続きとして、ここからはいよいよ実際の移植処置に入っていきます。
今回の症例では、再生療法を併用した歯牙移植を行っています。
まずは、事前に採取しておいた自家骨を形成済みの移植床へ丁寧に填入していきます。
…
歯の移植をいう選択肢〜手術編Ⅲ〜
前回に引き続き、手術の続きをご紹介していきます。
移植床の形成がおおよそのサイズまで整った段階で、歯牙レプリカを用いて適合の確認を行います。
この時点では、まだ完全にはフィットしていないため、再度細かい調整を加えていき…
歯の移植という選択肢〜手術編Ⅱ〜
前回に引き続き、実際の手術の流れについてお話ししていきます。
移植床の形成は、低速かつ無注水で慎重に進めていきます。
ドリルで骨を削る → 採取した自家骨を回収する → 次のサイズのドリルへ変更するこの工程を一つひとつ確認しな…
歯の移植という選択肢〜手術編Ⅰ〜
こんにちは。のだデンタルクリニック西荻窪院 院長の野田裕亮です。
前回は術前編として、今回の歯牙移植の適応や治療計画についてお話ししました。
今回はいよいよ、実際の手術の流れについてご紹介していきます。
まず今回…
本日新しく診療チェア&マイクロスコープが導入されます!
新しい診療室が誕生します
本日、当院に新しく診療チェアとマイクロスコープが導入されます。
こちらの写真は、導入前の状態。
まだ機材は入っていませんが、すでに配管や電源の準備が整い、「これから診療室になる空間」です…
歯の移植という選択肢〜術前診断編〜
こんにちは。のだデンタルクリニック西荻窪院 院長の野田裕亮です。
今回から、当院で行っている歯牙移植の症例をシリーズでご紹介していきます。まずは術前の診断や考え方についてお話しします。
今回のケースは、自費診療で行った…
当院における根管治療のあり方について
「神経の治療が必要です」と言われたとき、不安に感じる方はとても多いと思います。
・できるだけ歯を残したい・本当にこの治療で大丈夫?・何度もやり直しになるのでは?
そんな疑問や不安をお持ちの方に、当院の根管治療に対する考…
✨【ホワイトニング始めました】✨
当院でもいよいよホワイトニングがスタートしました🦷✨
歯の色が明るくなるだけで、お顔の印象はぐっと若々しく、清潔感もアップします😊
🦷【オフィスホワイトニン…
3Dプリンターが始動しました!
このたび、のだデンタルクリニック西荻窪院で3Dプリンターが本格始動しました。
最近よく耳にする「デジタル歯科」ですが、当院でも少しずつ、診療の中にデジタル技術を取り入れています。
3Dプリンターで何ができるの?
…









