他院では
「抜歯しかない」と
診断されたものの、
「できるだけ自分の歯を残したい」
と希望の
60代女性の症例
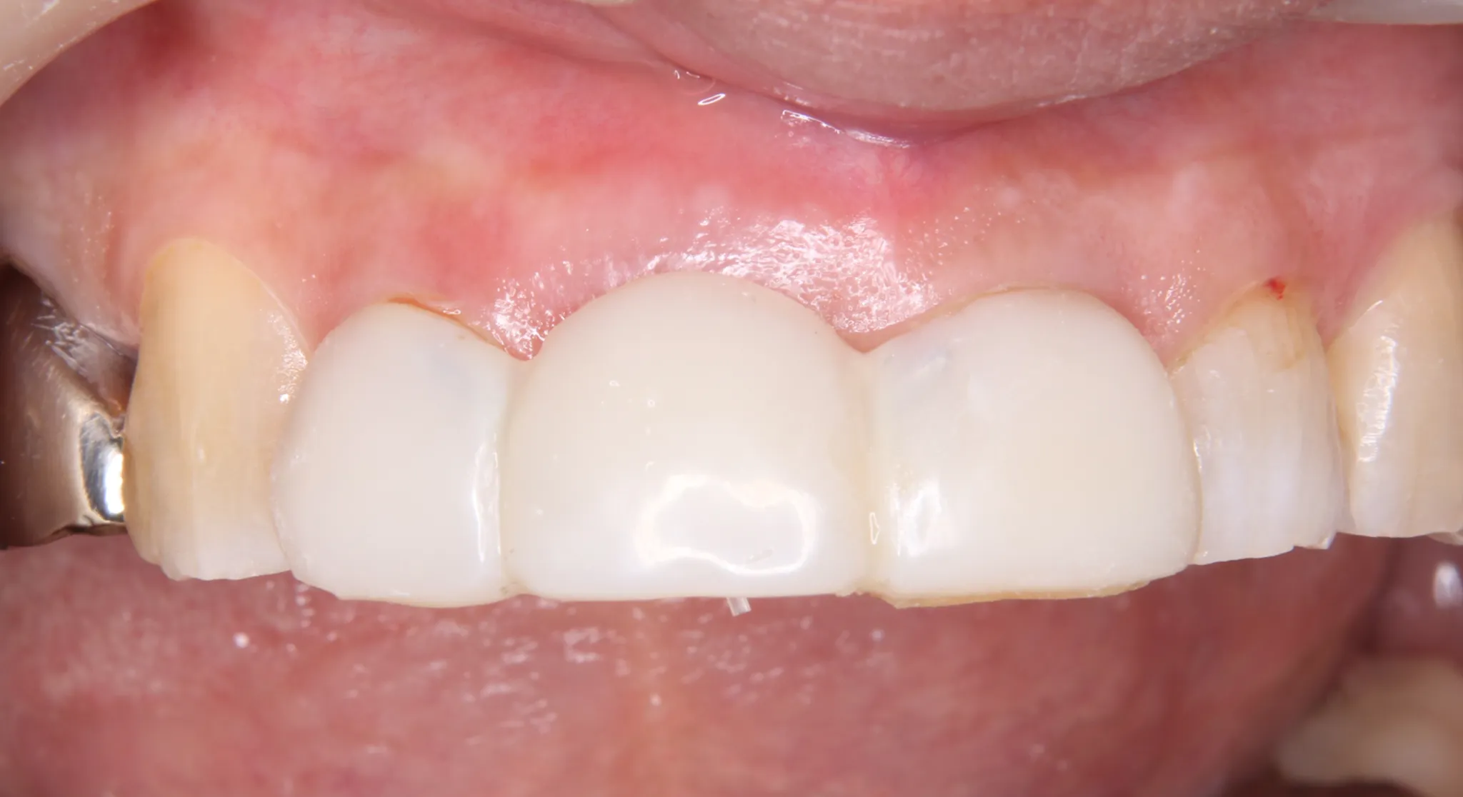
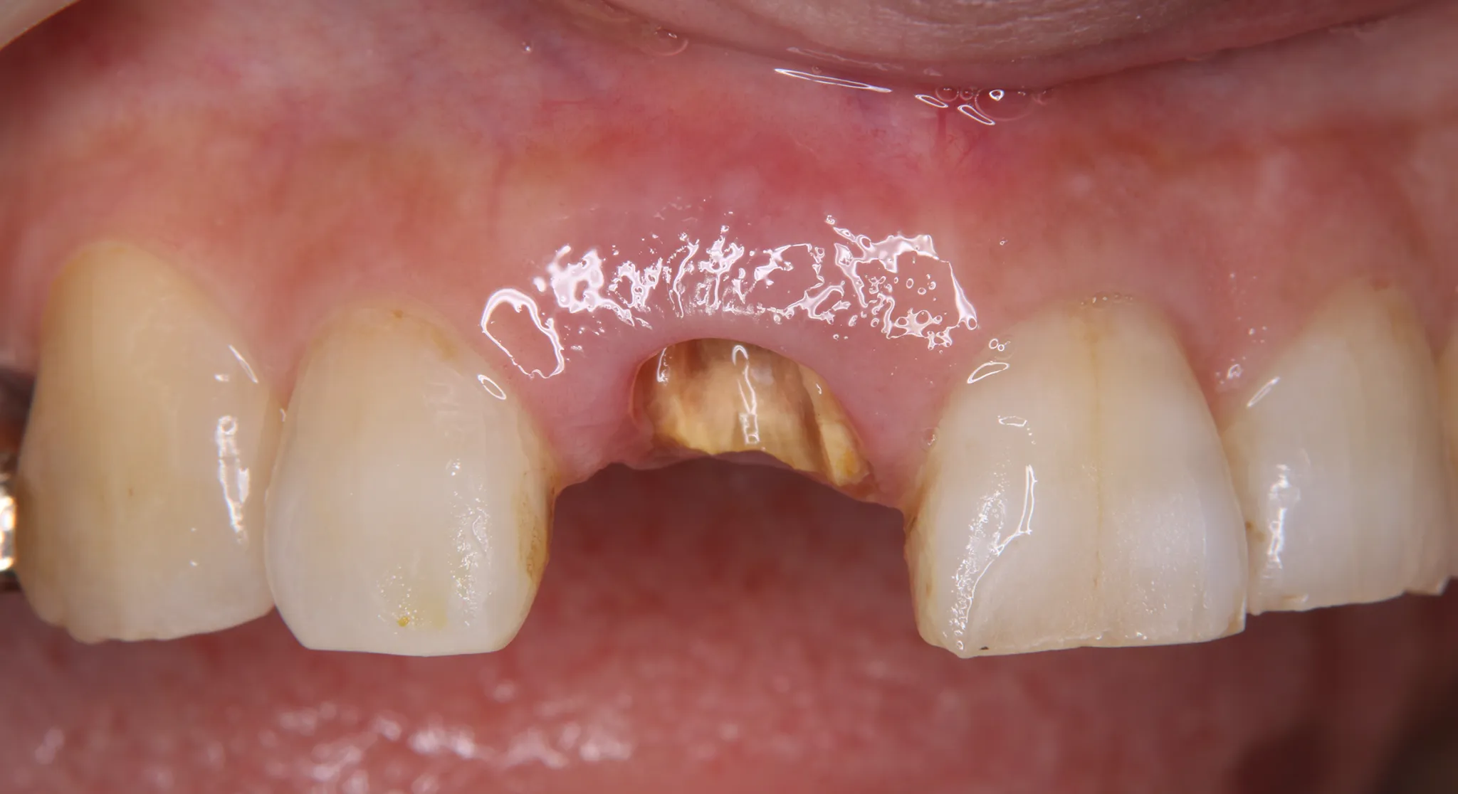
治療前
治療後
治療前
治療後
治療前
治療後
| 主訴 | 土台ごと被せ物が外れ、歯が折れてしまった60代女性。 他院では「抜歯しかない」と診断されたものの、「できるだけ自分の歯を残したい」とのご希望で来院されました。 |
|---|---|
| 期間 | 約3か月(エクストリュージョン:約2か月 /仮歯・補綴:約1か月) |
| 費用 | 歯根挺出(エクストリュージョン): 110,000円(税込) 仮歯(3Dプリンター製作): 11,000円(税込) 補綴処置(セラミッククラウンなど): 110,000〜154,000円(税込)/本 トータル合計: 約231,000〜275,000円(税込) |
| 治療内容 | 歯が根元近くで折れていたため、そのままでは被せ物の維持が困難でした。マイクロスコープ下で精密に根の状態を確認し、歯根を少しずつ引っ張り上げる「エクストリュージョン(歯根挺出)」を実施。 健康な歯質を露出させることで、抜歯せずに歯を保存しました。挺出後は仮歯で安定を確認し、最終的にセラミッククラウンで修復しました。 |
| 治療に伴うリスク | ・挺出中に歯や歯ぐきに軽い痛みや違和感が出ることがあります。 ・歯根が短く脆い場合、挺出後に破折する可能性があります。 ・再発防止のため、定期的なメンテナンスが必要です。 |





