転倒により
前歯を破折し
「インプラントは避けたい」「健康な歯を削りたくない」と希望の
70代男性の症例
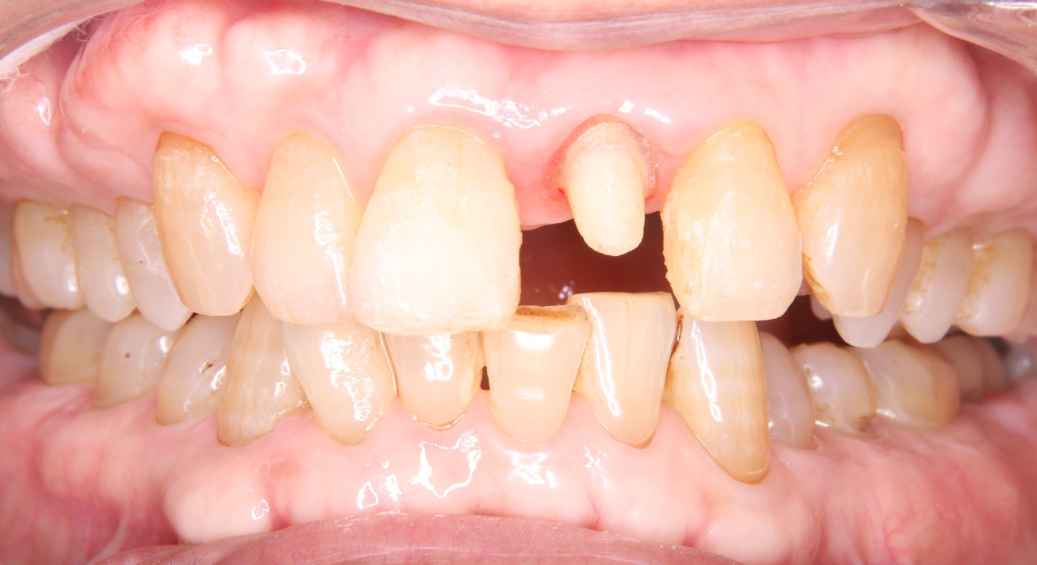
治療前
治療中
治療後
| 主訴 | 転倒により前歯を破折した70代男性。「年齢的にインプラントは避けたい」「健康な歯を削りたくない」とのご希望で来院されました。 |
|---|---|
| 期間 | 約3か月 (エクストリュージョン:約2か月/仮歯・補綴:約1か月) |
| 費用 | 歯根挺出(エクストリュージョン): 110,000円(税込) 仮歯(3Dプリンター製作): 11,000円(税込) 補綴処置(セラミッククラウンなど): 110,000〜154,000円(税込)/本 トータル合計: 約231,000〜275,000円(税込) |
| 治療内容 | 歯が歯ぐきの下まで折れてしまっていたため、そのままでは被せ物の装着が難しい状態でした。 歯根挺出(エクストリュージョン)によって歯根を少しずつ引き上げ、健康な歯質を露出。 挺出期間中は3Dプリンター製の仮歯を使用し、見た目と機能を保ちながら経過を観察しました。 挺出完了後、歯ぐきの位置が安定してからセラミッククラウンで最終修復を行いました。 |
| 治療に伴うリスク | ・挺出中に軽い痛みや違和感が出ることがあります。 ・歯根が短い場合、挺出後に再破折するリスクがあります。 ・治療後も歯周組織の安定維持のため、定期的なメンテナンスが必要です。 |








