他院では
「抜歯が必要」と説明を受けましたが、
「できるだけ自分の歯を残したい」とのご希望でご来院された
60代女性の症例
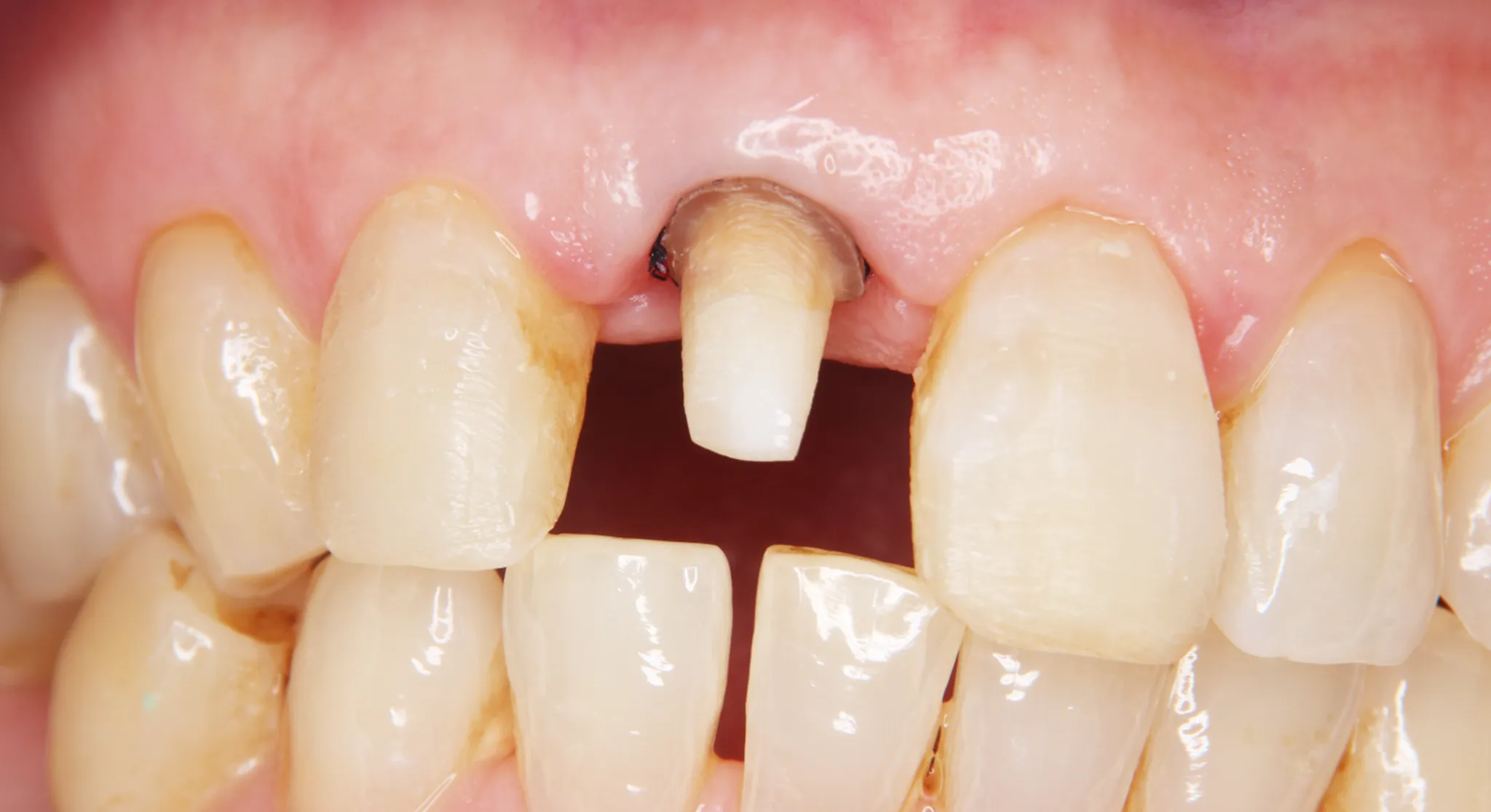
治療前
治療中
治療後
| 主訴 | お孫さんと遊んでいる際に頭が顔に当たり、前歯が折れてしまった60代女性。歯根破折があり、他院では「抜歯が必要」と説明を受けましたが、「できるだけ自分の歯を残したい」とのご希望で来院されました。 |
|---|---|
| 期間 | 約3か月 (エクストリュージョン:約2か月/ 仮歯・補綴:約1か月) |
| 費用 | 歯根挺出(エクストリュージョン): 110,000円(税込) 仮歯(3Dプリンター製作): 11,000円(税込) 補綴処置(セラミッククラウンなど): 110,000〜154,000円(税込)/本 トータル合計: 約231,000〜275,000円(税込) |
| 治療内容 | 歯が歯ぐきの下まで折れており、そのままでは被せ物ができない状態でした。歯根挺出(エクストリュージョン)を行い、歯の根をゆっくりと引き上げて健康な歯質の位置まで露出させ、歯を残す治療を実施しました。 挺出中は3Dプリンター製の仮歯を装着し、見た目を保ちながら歯ぐきの位置を安定化。挺出完了後にセラミッククラウンで修復し、自然な仕上がりで機能も回復しました。 |
| 治療に伴うリスク | ・挺出中に軽い痛みや違和感を感じる場合があります。 ・歯根が短い場合や破折線が深い場合、再治療や抜歯が必要になることがあります。 ・安定維持のため、治療後も定期的なメンテナンスが必要です。 |








