欠けてしまった歯を治したい
欠けてしまった前歯を
ラミネートベニアで
治療した症例
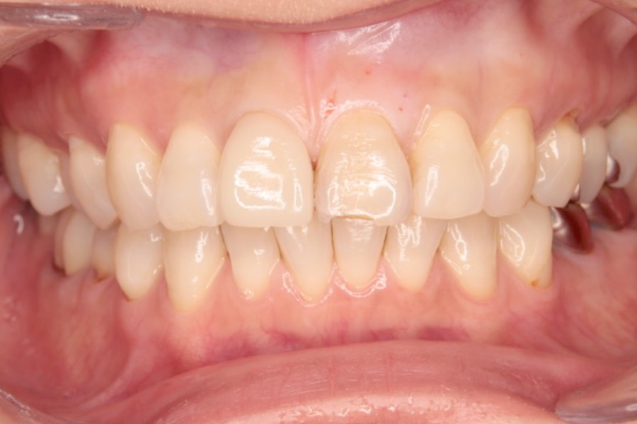
- 主訴
- 左の前歯が欠けてしまったとのことで来院。
「できるだけ自然に見えるように治したい」とのご希望で、ラミネートベニアによる審美修復を行いました。
- 期間
- 約3〜4週間(全3回の通院)
1回目:カウンセリング・治療計画
2回目:形成・仮歯装着
3回目:ラミネートベニア装着
- 費用
- ラミネートベニア(前歯1本):132,000円(税込)
仮歯(3Dプリンター製作):11,000円(税込)
トータル:約143,000円(税込)
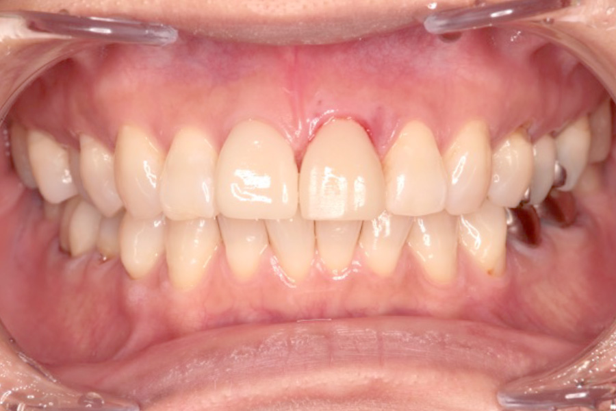
- 治療内容
- 欠けた部分を整え、歯の表面を最小限だけ削合してラミネートベニアを装着しました。
自然な透明感と艶を再現し、周囲の歯と調和した仕上がりに。
歯を大きく削ることなく、短期間で見た目と機能の回復を図ることができました。
- 治療に伴うリスク
- ・歯ぎしりや強い衝撃により、ベニアが外れる・欠ける可能性があります。
・接着が外れた場合は再装着が必要となります。
・長期的な美しさを維持するには、定期的なメンテナンスが重要です。

