補綴
歯根破折して根管治療ができない状態だったが、
親知らずを利用し保険適用での
歯牙移植をした症例
- 主訴
- 根管治療を希望して来院された患者さん。
診査の結果、歯根破折を起こしており保存が不可能と診断。
「自分の親知らずを利用して歯を残したい」との希望があり、保険適用での歯牙移植を行うことになりました。
- 期間
- 約3〜4か月
・移植手術:約1回
・固定期間:約1か月
・根管治療、補綴:約2〜3か月
- 費用
- トータル:
約12,000〜14,000円(税込)程度
※別途、初診料・再診料・レントゲン・投薬などを含めると、
全体で15,000〜16,000円前後が一般的な総額目安です。
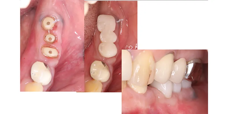
- 治療内容
- 歯根破折を起こした歯を抜歯後、同側にあった親知らずをドナー歯として移植しました。
移植後はワイヤー固定で安定化させ、生着を確認したのちに保険内での根管治療と金属冠(FMC)補綴を実施。
咬合機能を回復し、快適に噛める状態に改善しました。
- 治療に伴うリスク
- ・移植歯が生着しない場合、再治療や抜歯が必要になることがあります。
・術後に一時的な腫れや痛みが出る場合があります。
・歯の根の形や骨の状態により、保険適用が難しいケースもあります。
【60代女性】
入れ歯に違和感がありご来院
「インプラントにはしたくないが噛めるようにしたい」
というご希望を
自家歯牙移植により対応した症例
- 主訴
- 左下の歯を失い、入れ歯を試したものの違和感が強く使用できなかった60代女性。
「インプラントはしたくないが、しっかり噛めるようにしたい」とのご希望で来院されました。
上顎に歯根破折した歯があり、その歯を利用して自家歯牙移植を行うことにしました。
- 期間
- 約3〜4か月
・移植手術:約1回/固定期間:約1か月
・根管治療・補綴:約2〜3か月
- 費用
- CT撮影:11,000円(税込)
移植用レプリカ作製:11,000円(税込)
移植手術:55,000円(税込)
再生療法(PRF・骨補填材併用):
33,000円(税込)
根管治療(自費):55,000円(税込)
補綴(セラミッククラウン):
110,000円(税込)
トータル:約275,000円(税込)
- 治療内容
- 上顎の破折歯を抜歯後、移植部(左下欠損部)を整え、自家歯牙移植を実施。術前にCTで骨量や角度を評価し、レプリカ模型を用いて位置を正確にシミュレーションしました。
移植後は再生療法を併用し、歯槽骨の安定と歯根膜の生着をサポート。安定を確認したのち、根管治療とセラミック補綴を行い、審美的にも機能的にも自然な咬合を再現しました。
- 治療に伴うリスク
- ・移植歯が生着しない場合、再移植やインプラントへの変更が必要になることがあります。
・一時的な腫れや痛み、咬合違和感を伴うことがあります。
・長期安定のため、定期的な咬合調整とメンテナンスが必要です。



