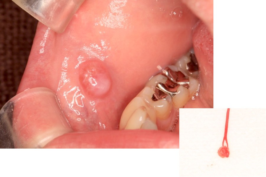
粘液嚢胞(口内炎・水ぶくれ)
長引く口内炎を
外科的処置で治療した症例
- 主訴
- 頬の内側を噛んでしまったあと、水ぶくれができては潰れ、再び膨らむという状態を繰り返しているとのことで来院。
違和感と不快感を改善したいとのご希望がありました。
- 期間
- 1〜2回の通院(手術日+経過観察)
- 費用
- 自己負担(3割負担の場合):約4,500〜5,000円(税込)
- 治療内容
- 頬粘膜に発生した粘液貯留嚢胞を外科的に切除しました。
局所麻酔下で嚢胞とその原因となっている唾液腺組織を丁寧に除去し、再発を防ぐために粘膜下をきれいに処理しました。
手術後は軽度の腫れがみられましたが、経過良好で再発はありませんでした。
- 治療に伴うリスク
- ・手術後、一時的な腫れや違和感、軽い出血が出ることがあります。
・まれに再発することがあり、その場合は再切除が必要になることがあります。
・縫合部は1週間ほどで自然治癒または抜糸となります。

